Message 院長あいさつ
Message 院長あいさつ
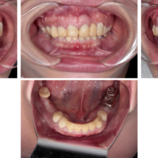
歯を削りたくない。自分の歯のようにしっかりと噛みたい。美味しいものを、美味しく食べたい。
そんな患者さまのニーズにこたえる治療として、インプラント治療はとても有効な治療であることに間違いはありません。
しかしながら、外科的手術を伴うインプラント治療は、患者さまにとって精神的にも肉体的にも、また金銭的にも、負担の大きな治療であることも事実です。
私は今まで、インプラント治療に限らず、どうやったら患者さまにより負担をかけずに良い治療結果を出せるかを考え、追及してきました。
治療のメリット、デメリット、当院でできること、できないこともすべて正直にお話しします。
患者さまが、ご自身にとっての最良の治療をご選択できるよう、サポートいたします。










